CERAMFIX
Bienvenue chez CERAMFIX, le spécialiste de la fabrication de prothèses dentaires à Beauvais. Avec une expertise solide et pointue, nous nous engageons à fournir des solutions innovantes pour répondre aux besoins spécifiques de chaque client. Notre mission est simple : offrir des réalisations de haute qualité, répondant aux normes les plus exigeantes de l'industrie dentaire, tout en garantissant la satisfaction et le confort des patients.
Pourquoi choisir CERAMFIX pour vos prothèses dentaires ?
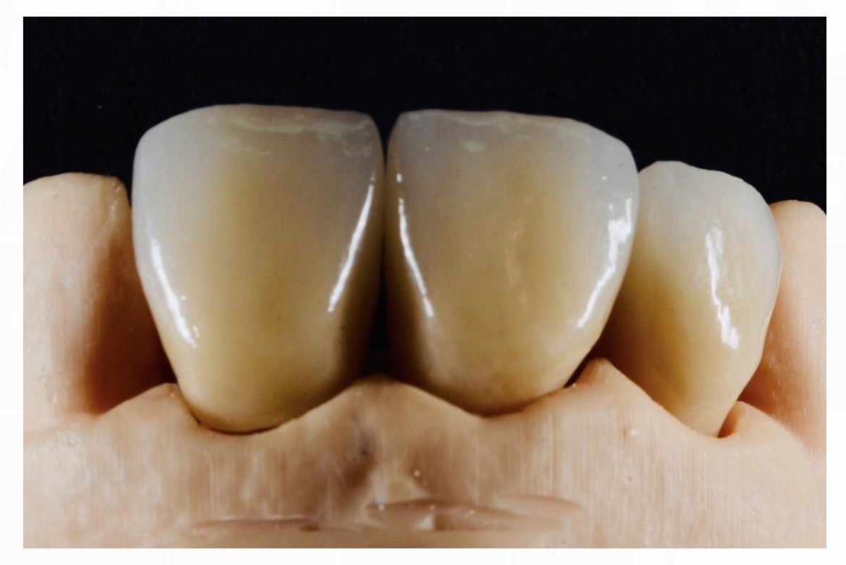
Chez CERAMFIX, nous mettons un point d'honneur à réaliser des prothèses dentaires à partir de technologies de pointe. Nos équipes d'experts garantissent à chaque patient un produit sur mesure, adapté à leurs besoins et morphologie buccale. Choisir CERAMFIX, c'est s'assurer d'un travail précis, d'une adaptation parfaite et d'un confort incomparable en tant que fabricant de prothèses dentaires.
Explorez nos services et solutions innovantes
CERAMFIX est fier de proposer une vaste gamme de services pour apporter les solutions les plus adaptées aux professionnels de la santé dentaire. Nos prestations incluent :
- Fabrication de prothèses dentaires sur mesure, développées avec une précision ultime pour chaque patient.
- Une traçabilité
- Un service de proximité (prise de teinte au laboratoire, réparation...).
- Nos propres livreurs (pour l'Oise et la Somme),
- Une équipe dynamique et qualifiée,
- Les dernières innovations technologiques,
- Des interlocuteurs qualifiés et disponibles
- Une grande gamme de produits proposés
- Des prothèses réalisées avec des produits de qualité et de grandes marques répondant aux normes ISO, NF, CE,...
En faisant appel à CERAMFIX, vous bénéficiez d'une expertise et d'un niveau de qualité reconnus.
Besoin d'un laboratoire de prothèses dentaires ?
CERAMFIX est à votre disposition pour vous accompagner dans tous vos projets dentaires. N'hésitez pas à nous contacter pour en discuter. Visitez notre laboratoire situé au cœur de Beauvais, où nos spécialistes se feront un plaisir de répondre à vos questions et de vous conseiller. Pour toute demande d'information supplémentaire ou pour convenir d'un rendez-vous, remplissez notre formulaire de contact en ligne.
